Røntgenbilleder

Røntgen er en vigtig del af tandlægebehandling, da det giver tandlægen mulighed for at se ind mellem dine tænder og ind i kæbeknoglen, og derved opdage potentiel sygdom, som ikke er synlig ved den almindelige kliniske undersøgelse. Vi anvender røntgenbillederne for at få en mere præcis vurdering af din tand- og mundsundhed, og herved sikre, at vi kan tilbyde dig den bedst mulige behandling.

Patient får taget panoramarøntgen hos tandlægerne Ølandshus på Amager med moderne digitalt røntgenudstyr.

Hvorfor tager vi røntgenbilleder?

Røntgen giver tandlægen mulighed for at se:

  • Skjulte tandproblemer
    som huller mellem tænderne og under tandkødet, som ikke kan ses med det blotte øje.
  • Skader
    på tandens rod og kæbeknogle, som kan opstå ved traumer eller sygdom.
  • Tandkødssygdomme
    som kan påvirke det underliggende tand- og knoglevæv.
  • Opfølgning på tidligere behandlinger
    som for eksempel rodbehandling, dybe fyldninger eller helingskontrol efter tandfjernelse.
  • Forberedelse til større behandlinger
    hvor røntgen er afgørende for den endelige behandlingsplan.

Røntgenbilleder hjælper os med at få en detaljeret forståelse af din tand- og mundsundhed, hvilket gør det muligt for os at opdage problemer tidligt og sikre, at du får den rette behandling – på det rette tidspunkt. 

Røntgentyper

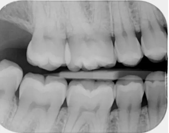
1. Bitewing røntgen (BW)

  • Formål
    Bitewing-røntgen bruges bl.a. til at kontrollere om der skulle være aktive huller mellem tænderne, til at kontrollere højde og hældning af knoglevævet samt kontrollere under kroner og fyldninger.
  • Hvordan det tages
    Du bider på et lille filmkort på en holder, som placeres i munden. Ved at bide på holderen midt for filmkortet, fås et billede gående vinkelret på de bagerste tænder i munden i både over- og undermund.
  • Hvornår det er indiceret
    Bitewing røntgen bruges primært til at opdage huller, vurdering af tandkødssundhed ud fra knogleniveauet, kontrol af generel tandstatus samt til at følge op på tidligere tandbehandlinger.
Bitewing-røntgenbillede optaget hos tandlægerne Ølandshus på Amager.
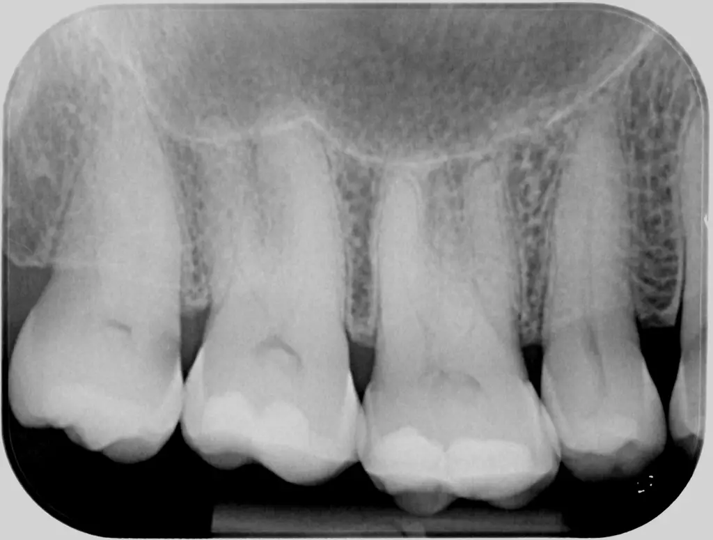
Periapikalt røntgenbillede hos tandlægerne Ølandshus på Amager med fokus på kindtænder.

2. Periapikal røntgen (RTG)

  • Formål
    Denne type røntgen viser en hel tand og de nærmeste nabotænder, inddragende hele kronen og roden, samt det omkringliggende knoglevæv.
  • Hvordan det tages
    En film eller sensor placeres i munden tæt på tanden, og tandlægen tager et billede af den enkelte tand og dens rodstruktur.
  • Hvornår det er indiceret
    Periapikale røntgen bruges, når vi har behov for at vurdere tilstanden af tandrødderne inden en behandling eller ved mistanke om tandinfektioner og rodbehandlingsbehov.

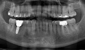
3. Panorama røntgen (OP)

  • Formål
    Panorama røntgen giver et overblik over hele munden, herunder tænder, kæbe, kæbeled og bihuler.
  • Hvordan det tages
    Du står oprejst, mens en maskine drejer rundt om dig i ca. 20 sekunder. Herved tages et billede af din mund, kæber og bihuler, der vises samlet på ét røntgenbillede.
  • Hvornår det er indiceret
    Panorama røntgen bruges til at få et overordnet billede af tænder og kæber, hvilket er nyttigt til at planlægge større behandlinger som tandimplantater, protesebehandling eller kirurgiske indgreb.
    Panorama anvendes også ved behov for vurdering af kæbeled og bihuler, samt inden fjernelse af visdomstænder for at vide præcist, hvordan de ligger.
Panoramarøntgen (OPG) fra tandlægerne Ølandshus på Amager med synlige fyldninger og implantat.

Sikkerhed og nødvendighed

Røntgen er en vigtig del af den diagnostiske udredning og behandling, men det tages kun, når det er nødvendigt for den enkelte patient og behandlingsplan. Vi anvender den lavest mulige strålingsdosis og følger de nyeste retningslinjer indenfor strålesikkerhed. 

Den stråling, der anvendes på tandklinikker i Danmark i dag, er meget lav, og der følges strenge sikkerhedsforanstaltninger for at beskytte både patienter og personale.

Strålingsniveau og sammenligning

Den stråling, du modtager ved et røntgenbillede, er minimal. Til sammenligning:

  • Bitewing røntgen (2 billeder): ca. 0,005 mSv.
  • Periapikalt røntgen (1 billede): ca. 0,0025 mSv.
  • Panorama røntgen (OP): ca. 0,02 mSv.

Til sammenligning udsættes du for ca. 0,05 mSv under en flyrejse tur-retur til London. Ét røntgenbillede svarer til 1-2 dages naturlig baggrundsstråling i København.

Røntgenapparat til tandundersøgelser hos tandlægerne Ølandshus på Amager.

Har du spørgsmål?

Har du spørgsmål om røntgen eller ønsker du at booke en tid til samtale, så er du altid velkommen til at kontakte os!

En patient får taget et panoramarøntgenbillede – en hurtig og skånsom scanning der bruges til overblik over hele tandsættet.
Tandlægen analyserer det digitale panoramabillede for at vurdere knogler, implantater eller tandstilling.

Andre behandlinger