Retentionstråd og retainer
- Bevaring af din tandstilling efter tandregulering

Efter en bøjle- eller Invisalign-behandling er det vigtigt at fastholde tændernes nye position for at undgå, at de flytter sig tilbage. Dette gøres med en retentionstråd eller en retainer (snap-skinne), som hjælper med at stabilisere tandsættet og sikre et varigt resultat.

Fast retainer på tandmodel anvendt efter tandretning

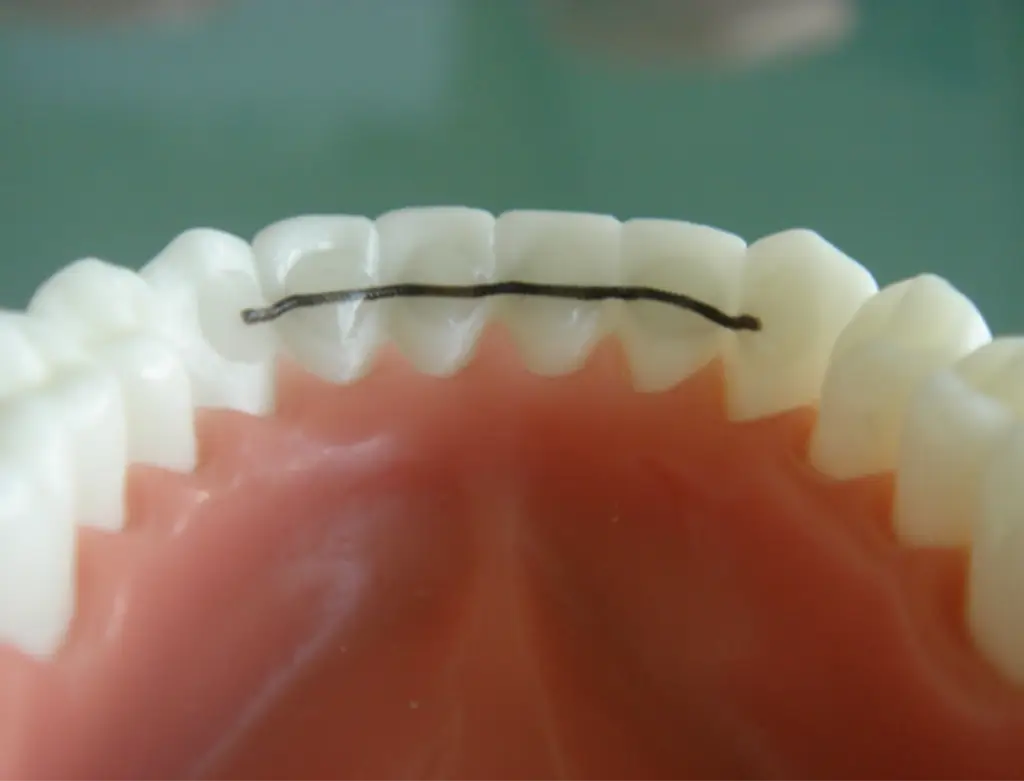
Retentionstråd

En retentionstråd er en tynd metaltråd, der fastgøres på bagsiden af fortænderne i over- og/eller underkæben. Tråden fastgøres med små mængder plast, hvilket gør den næsten usynlig og behagelig at have på.

Fordele ved retentionstråd:

  • Permanent fastholdelse af tændernes position.
  • Ingen daglig håndtering – den er fastmonteret.
  • Diskret løsning, da tråden sidder på bagsiden af tænderne.

Vi tilbyder både opsætning af en ny retentionstråd og reparation af eksisterende tråde, hvis plasten knækker eller tråden løsner sig.

Retainer skinne

En retainer er en gennemsigtig aftagelig plastskinne, der bæres om natten for at holde tænderne i den korrekte position. Retaineren er særlig relevant for patienter, der ønsker en fleksibel løsning, eller hvor en retentionstråd ikke er mulig.

Fordele ved retainer:

  • Aftagelig løsning – kan tages ud ved behov.
  • Gennemsigtig og diskret.
  • Velegnet efter både fast bøjle og Invisalign.

Vi tilbyder fremstilling af nye retainere, hvis din gamle er slidt eller gået i stykker.

Gennemsigtig bidskinne tilpasset af tandlæger på Amager
Patient til tandtjek hos tandlægerne Ølandshus med skærm i baggrunden

Vedligeholdelse og kontrol

For at sikre lang holdbarhed bør retentionstråde:

  • Holdes fri for tandsten med grundig tandbørstning.
  • Kontrolleres regelmæssigt hos tandlægen.

For at sikre lang holdbarhed bør retainere/snap-skinner:

  • Rengøres dagligt med vand og mild sæbe, evt. specialtabletter til proteserens.
  • Opbevares i et rent og ventileret etui, når de ikke er i brug.
  • Undgå varme og varmt vand, da materialet kan deformeres.

Har du spørgsmål?

Har du brug for en ny retentionstråd eller en retainer, eller skal din nuværende repareres? Kontakt os for en konsultation og få professionel rådgivning om den bedste behandling for dig.

Andre behandlinger