Implantater
– Erstatning af en eller flere tænder

Et tandimplantat er en kunstig tandrod fremstillet af titanium, som indsættes i kæbeknoglen for at erstatte en mistet tand. Implantatet fungerer som en stabil base for en krone, bro eller protese og giver en løsning, der både er funktionel og naturlig i udseendet.

Tandlæger i sterile klæder udfører kirurgisk indgreb under sterile forhold hos Tandlægerne Ølandshus

Hvad består et implantat af?

Et implantat består af tre hoveddele:

  • Implantatskruen
    en titaniumskrue, der indsættes i kæbeknoglen og fungerer som tandroden.
  • Abutmentet
    en forbindelsesdel, der monteres på implantatskruen og fungerer som overgang mellem implantatet og kronen eller broen.
  • Den endelige tanderstatning
    en krone, bro eller protese, der fastgøres på abutmentet og genskaber tandens funktion og æstetik.

Hvornår anvender vi
implantatbehandling?

Implantater anvendes til at erstatte en eller flere mistede tænder, når:

  • Man ønsker en fast løsning, der ikke involverer nabotænderne.
  • Nabotænderne er sunde og ikke egnet til en brobehandling.
  • Man har mistet en tand som følge af caries, parodontose eller traume.

Hvad skal man tage i betragtning ved valg af implantatbehandling?

Ved vurdering af, om implantatbehandling er den rette løsning, inddrages følgende faktorer:

  • Knoglemængde og kvalitet
    Implantatet skal have tilstrækkelig knogle til at forankre sig i.
  • Tandkødets sundhed 
    God mundhygiejne og sundt tandkød er vigtigt for et vellykket resultat.
  • Sammenbidsforhold
    Det vurderes, hvordan implantatet passer ind i sammenbiddet og den generelle tyggebelastning.
  • Patientens generelle helbred 
    Visse sygdomme og medicinske tilstande kan have indflydelse på behandlingsmulighederne.
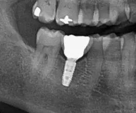
Røntgenbillede viser tandimplantat fastgjort i underkæben

Bro eller implantat – Hvilken behandling er bedst?

Valget mellem brobehandling og implantat afhænger af den individuelle situation.

  • Hvis nabotænderne er sunde og ikke har behov for behandling, vil et implantat ofte være den bedste løsning.
  • Hvis nabotænderne allerede er svækket af store fyldninger eller tidligere behandlinger, kan en bro være en fordelagtig løsning.
  • Knoglemængden og patientens generelle helbred tages med i vurderingen.

Kontraindikationer for implantatbehandling

Der er visse forhold, der kan gøre implantatbehandling mindre velegnet:

  • Utilstrækkelig knoglemængde
    hvor knogleopbygning kan være nødvendig.
  • Fremskreden paradentose
    som kan påvirke implantatets stabilitet.
  • Rygning
    da det kan forringe helingen og øge risikoen for komplikationer.
  • Ubehandlede sygdomme som diabetes eller osteoporose
    der kan påvirke knoglehelingen.
  • Patienter i medicinsk behandling med bisfosfonater
    da det kan øge risikoen for komplikationer i kæbeknoglen.

Hvordan udføres behandlingen?

Forundersøgelse og planlægning

  • Røntgenundersøgelse eller 3D-scanning for at vurdere knogleforholdene.
  • Behandlingsplan laves ud fra patientens behov og æstetiske ønsker.

Første besøg – Kirurgisk indsættelse af implantatet

  • Lokalbedøvelse sikrer en smertefri behandling.
  • Implantatskruen indsættes i kæbeknoglen og dækkes med en helingsskrue.
  • Helingsperioden varer typisk 2-4 måneder, hvor implantatet vækster sammen med knoglen.

Andet besøg – Montering af abutment og tanderstatning

  • Abutmentet monteres på implantatet.
  • En digital scanning foretages for at fremstille den endelige tanderstatning.

Afsluttende besøg – påsætning af endelig restaurering

  • Kronen, broen eller protesen skrues fast på abutmentdelen.
  • Farve, form og bidhøjde af restitueringen kontrolleres og justeres efter behov.

Efter behandlingen
– Hvad kan man forvente?

Efter implantatindsættelsen kan der opleves:

  • Let ømhed og hævelse i området de første dage.
  • Midlertidigt let ubehag ved tygning.
  • Mindre blødning eller misfarvning af tandkødet i helingsperioden.

For at sikre implantatets holdbarhed er god mundhygiejne og regelmæssige tandlægebesøg vigtige. Med den rette pleje kan et implantat holde i mange år og give en funktionel og naturlig erstatning for den mistede tand.

Illustration af tandimplantat med krone, opbygning og skrue til fastgørelse

Har du spørgsmål?

Kontakt os for en vurdering og få professionel rådgivning om den bedste løsning for dig.

Andre behandlinger